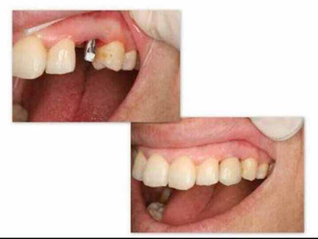
İmplant yöntemi diş eksikliklerinin giderilmesinde kullanılıyor ve hastalara büyük konfor sağlıyor. Teknoloji, sağlık alanında gün geçtikçe gelişiyor. Lazer destekli implant uygulamalarında sadece implant uygulanacak bölgeye işlem yapıldığı için operasyon sonrası iyileşme süresi kısalıyor. Kentimizin başarılı diş hekimlerinden Dt.Lütfü Güler, implantta yeni tekniklerle gündemde. Dt. Güler, gelişen tedavi yöntemleriyle implantın artık hastaların korkulu rüyası olmaktan çıktığını belirtiyor. İmplantta en son teknoloji ürününü Hatay’a kazandıran Dt. Lütfü Güler, cihaz sayesinde diş tedavisindeki tüm diş, ağız ve çene bilgilerinin ve implantın yapılacağı en uygun yerin daha kolay tespit edilerek, daha mükemmel koşullarda implant tedavisinin yapılabildiğini belirtiyor.





